Od najmłodszych lat słyszymy o zębach mądrości, jakby były czymś pieczętującym nasze dojrzewanie. Okazuje się jednak, że zęby mądrości, czyli tzw. ósemki, nie są nam do niczego potrzebne. Co więcej – mogą nawet przeszkadzać.
Dorosły człowiek powinien mieć 32 zęby – 12 trzonowców, 8 przedtrzonowców, 4 kłów i 8 siekaczy. Ich zadania są całkiem inne – siekacze służą do odgryzania kęsów, kły do chwytania, a przedtrzonowce i trzonowców do miażdżenia i rozcierania pokarmu. To dlatego, że poszczególne typy zębów różnią się od siebie anatomicznie – wystarczy choćby spojrzeć na ich kształt.
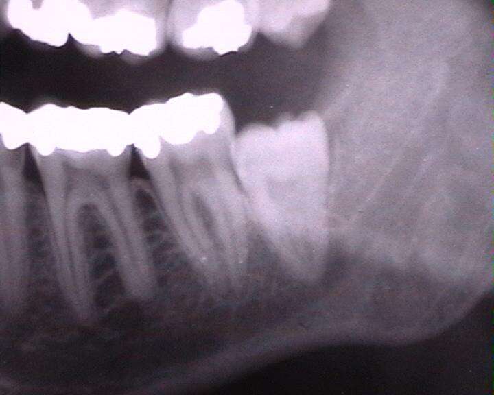
Problem polega na tym, że w szczękach większości ludzi mieści się tylko 30 w pełni wykształconych zębów (taka fizjologia). Brakuje w nich miejsca dla ostatnich zębów trzonowych, czyli tzw. ósemek. Są one nazywane zębami mądrości, ale z IQ nie mają nic wspólnego – po prostu wyrzynają się jako ostatnie. Zwykle między 17. a 21. rokiem życia, choć możliwe jest też ich pojawienie się dopiero przed czterdziestką. Zęby mądrości są jednak nam całkowicie niepotrzebne i gdy już się wykształcą, to zazwyczaj kończy się wizytą u chirurga szczękowego. W większości przypadków trzeba je bowiem usunąć.
Pamiątka po przodkach
Zęby mądrości to pamiątka z czasów, gdy nasi przodkowie musieli ciągle żuć i rozcierać twarde pokarmy. Ich zęby zużywały się do tego stopnia, że wiele osób umierało nie z powodu starości, co niedożywienia – starte zęby sprawiały po prostu, że nie mieli już czym gryźć. Natura wpadła więc na genialny pomysł – wyposażyć ludzi w dodatkowe pary zębów. Kiedy pojawiły się pierwsze osobniki z ósemkami, od razu zyskały one przewagę fizjologiczną. Ceną za dodatkowe zęby była znacznie większa szczęka, która nadawała przodkom bardziej „małpiego” wyglądu.

Dopiero po odkryciu ognia, który pozwalał na pieczenie i gotowanie mięsa, trend się zmienił. Nasi przodkowie zauważyli bowiem, że mięso ugotowane jest bardziej miękkie, a nawet lepsze w smaku. Nie trzeba było już tyle czasu poświęcać na żucie, skoro pokarm można było ugotować. Trzonowce przestały być niezbędne, podobnie zresztą jak silne mięśnie szczęk. Dzięki temu, twarze ludzi pierwotnych zaczęły się spłaszczać, stopniowo zmierzając do kształtu, który znamy dzisiaj.
Ludzie z mniejszymi szczękami wyglądali lepiej, ale w ich buziach nie było miejsca dla kompletnego uzębienia. Ósemki stały się niepotrzebne, a wręcz uciążliwe, a jednak nie przestawały rosnąć. Ponieważ zęby mądrości wyrzynają się jako ostatnie, często dochodziło do sytuacji, w której zgryz był w pełni ukształtowany, a w szczęce nie było miejsca dla więcej niż 28 zębów. W efekcie, ósemki nie mogły wydostać się z kieszonki zębowej i zaczynały rosnąć pod niewłaściwym kątem. Taka wada dotyka dzisiaj aż 65% ludzi na całym świecie. Tylko u nielicznych zęby mądrości nie wyrzynają się wcale.

Zablokowanie ósemek oznacza duży ból, a także ryzyko infekcji. Do zębów mądrości nie jesteśmy w stanie dotrzeć podczas codziennego szczotkowania, więc zaczynają one po prostu próchnieć. Komplikacje mogą być różnorodne – od zapaleń, przez uszkodzenie dziąseł, parodontozę, po zdeformowanie zgryzu. Lekarze nierzadko trafiają na pacjentów z problemami z sercem, którzy – jak się okazuje po dogłębnej diagnostyce – mają chore zęby.
Czy kiedyś zęby mądrości znikną?
Zęby mądrości to narząd szczątkowy – podobnie jak kość guziczna czy wyrostek robaczkowy. W trakcie ewolucji przestały być potrzebne i stopniowo zanikają. Naukowcy szacują, że za parę tysięcy lat ludzie nie będą już mieli ósemek, a więc jeden problem mniej. No chyba, że na Ziemi podzieje się coś niedobrego i będziemy musieli wrócić do wzorców żywieniowych sprzed tysięcy lat.
Czy zęby mądrości należy usuwać, nawet gdy nie przeszkadzają (nie bolą, nie zmieniają zgryzu)? Jeszcze do niedawna większość stomatologów odpowiedziałaby, że tak, bo panowało przekonanie, że prędzej czy później ósemki zaczną się psuć i staną się siedliskiem bakterii, które mogą oddziaływać na inne części ciała. Obecnie jednak zmienia się podejście.

Badania przeprowadzone w 2014 r. ujawniły, że pozostawienie ósemek nie prowadzi do zwiększenia ryzyka wystąpienia powikłań stomatologicznych w późniejszym wieku. A rutynowa ekstrakcja (usuwanie zębów mądrości „dla zasady”) może wiązać się z poważnymi komplikacjami, np. suchym zębodołem, porażeniem nerwu czy utratą poczucia smaku. Usunięcie zęba to, jakby nie patrzeć, zabieg chirurgiczny, więc w ekstremalnych przypadkach może skończyć się nawet ekstremalnymi komplikacjami.
A czy dzisiaj możemy mieć jeszcze jakiś pożytek z ósemek? Niektórzy naukowcy myślą o zębach mądrości jak o częściach zamiennych na wypadek utraty innych trzonowców. Są w nich bowiem komórki macierzyste, które teoretycznie można użyć do wykształcenia nowych zębów. To jednak wciąż melodia przyszłości. To, co stosuje się już dziś, to autoprzeszczepy ósemek w miejsce innych zębów trzonowych, jeżeli jest taka potrzeba, a stan korzenia na to pozwala. Większość ósemek usuwanych u stomatologów nie nadaje się jednak do niczego, bo ząb jest tak mocno zajęty bakteriami.


