Naukowcy przeanalizowali informacje dotyczące 129 pacjentów hospitalizowanych na terenie Francji w związku z COVID-19, którzy przeszli obrazowanie metodą rezonansu magnetycznego.
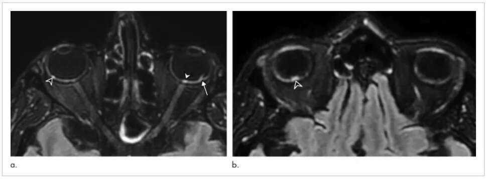
Okazało się, że dziewięć osób z tej grupy, czyli 7%, doświadczyło nieprawidłowości w funkcjonowaniu oczu. Obrazowanie wykazało bowiem obecność swego rodzaju guzków umiejscowionych z tyłu gałek ocznych. Takowe mogą być pozostałościami po zapaleniu bądź uszkodzeniu oczu.
Czytaj też: Szczepionka AstraZeneca może zahamować pandemię COVID-19. Skąd więc kontrowersje?
Czytaj też: Kolejna szczepionka na koronawirusa czeka na akceptację. Jest wniosek o wydanie zgody
Czytaj też: Jak limfocyty T chronią nas przed COVID-19?

Wspomniane guzki znajdowały się w obrębie plamki żółtej, która jest powiązana ze zdolnością do ostrego widzenia obiektów znajdujących się na wprost. 8 z 9 osób posiadało je w obojgu oczu. Autorzy badania zwracają uwagę na fakt, że problemy ze wzrokiem mogą ujść uwadze lekarzy zajmujących się ciężko chorymi pacjentami, w przypadku których priorytetem jest ratowanie życia.
COVID-19 już wcześniej powiązano z problemami ze wzrokiem takimi jak zapalenie spojówek
COVID-19 była wcześniej wiązana z objawami dotyczącymi oczu, m.in. zapaleniem spojówek oraz uszkodzeniem siatkówki oka. W tym przypadku nie wiadomo, co doprowadziło do powstania guzków, choć jedna z hipotez zakłada, iż pojawiły się one na skutek zatkania naczyń krwionośnych.
Czytaj też: Nigeryjski szczep koronawirusa w Wielkiej Brytanii. Czym różni się od pozostałych?
Czytaj też: Czy przeziębienie zapewnia ochronę przed COVID-19?
Czytaj też: Jak często szczepieniom na koronawirusa towarzyszy reakcja anafilaktyczna?
Nie wiadomo także, dlaczego zakażenie koronawirusem SARS-CoV-2 powoduje problemy z oczami. Być może chodzi o bezpośrednią infekcję (patogen ten może dostać się do oka za sprawą komórek ACE2), chociaż inne wyjaśnienie zakłada, iż uszkodzenia mogą być wywołane reakcją zapalną organizmu.

